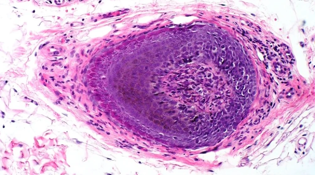
Toll of emotional and physical stress at hair follicle level:
Lymphocytes crowding at hair follicle level, immune prerogative forfeited as TGF-β, transforming growth factor-beta, impedes giving rise to CD4 and CD8 T cells crowding at follicular and follicular epithelium, respectively.
Alopecia areata under scope































